There’s a completely natural thing we do as humans: We compare ourselves to others. So, the first thing I did after receiving my positive diagnosis to the herpes test years ago was to rush to my nearest Google search bar and type in “pictures of genital herpes.” I wanted to get an idea of what my future situation was going to look like by looking at other people’s situations. And what I found didn’t get me too excited about my possible future. The photos were horrifying! But come to find out … most of my worrying was pointless.
Comparison is normal. We must see if we’re adequately keeping up with the Joneses, to make sure that we’re “stacking up.” We compare others’ experiences to our own hoping to see common ground; we compare others’ opinions to our own; we compare our bodies, minds, personalities, finances, and on and on. Before we go out to see a movie, we ask other friends what they thought about it, what movie critics said about it; we look for approval in who we date: do mom and dad approve, do the friends approve, is she as hot or hotter than women other guys are dating? We scroll through our social media feeds, comparing our internal experience to others' highlight reels. Constant comparison is the norm. But what we ultimately come to find out is that each of our experiences are so unique to us; comparing really doesn’t help us make better decisions for ourselves.
So back to my search for genital herpes pictures … I was comparing myself and my newfound situation to other folks with herpes, trying somehow to get things “in perspective.” But no amount of pictures or other people’s perspectives (including mine) has much to do at all to what your experience of herpes is going to be. Everyone’s situation is different, both the physical and the psychological experience. Just as everyone’s experience of spicy foods or jumping out of airplanes is different, everyone’s experience of herpes is different as well.

So do yourself a favor and don’t go out there comparing too much. Do your best to keep yourself healthy (physically and mentally) and find out for yourself with time that your herpes outbreaks will most likely be easier than you’re assuming. The most difficult part of genital herpes seems to have very little to do with the actual herpes symptoms themselves and more to do with the psychological impact due to our cultural stigma. But thankfully the psychological impact can be under your control as well. That part is all in your head.
And now … without further ado (drumroll please), some pictures …

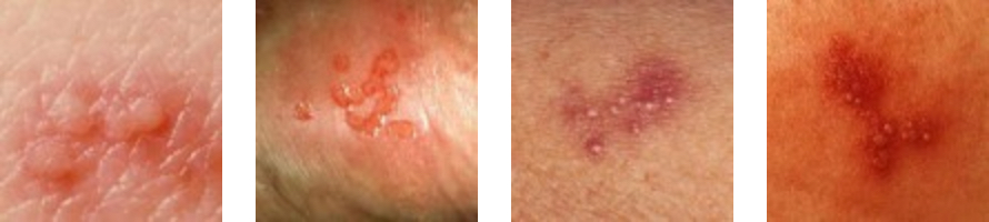
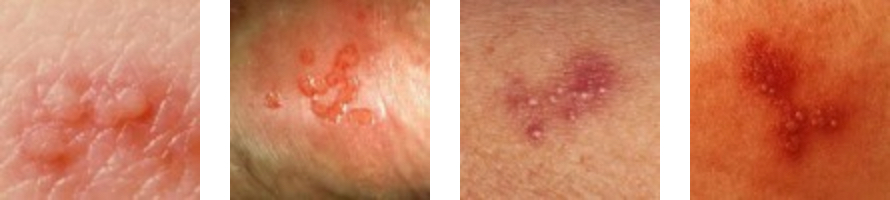
Here are a few pictures of normal herpes outbreaks. The vast majority of the herpes pictures you will find in the web are not representative of what actual herpes outbreaks look like. Those worst-case-scenario pictures just help to support the negative stigma and fear around herpes. Keep in mind that for most people, the first herpes outbreak is the most severe, so don’t expect that all your outbreaks will be like your first. Once your body builds up more and more immunity to the virus, your outbreaks will tend to settle down to be more representative of the above images.
Frequently asked questions
What does a genital herpes outbreak actually look like in real life?+
Is this herpes or could it be something else like an ingrown hair or folliculitis?+
Why do herpes pictures online look so much worse than what I am experiencing?+
Can herpes appear in unexpected places like the thighs, buttocks, or hands?+
Your next step
Wherever you are on your journey, there's something here for you.



